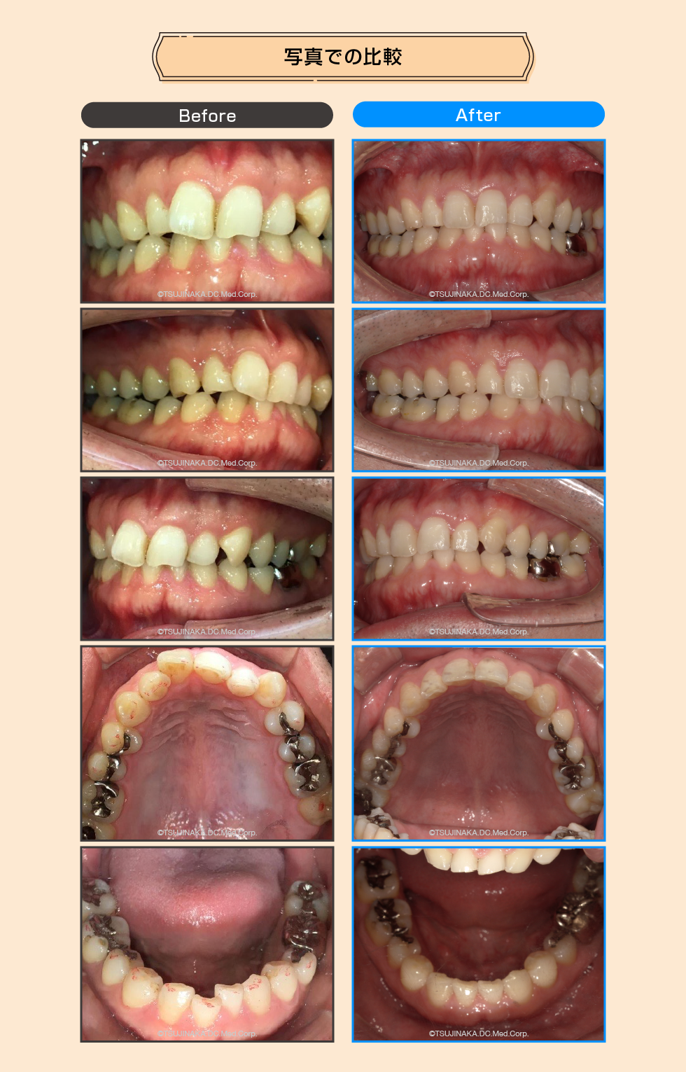
この患者さんは前歯での咬耗が激しく歯が
すり減って小さくなっておられました
その原因は奥歯の圧下や舌側傾斜、歯ぎしりが原因かと考えられます
まず奥歯の傾斜を治し圧下された奥歯を挙上することで前歯への負担を無くし、前歯がすり減らない様にし、叢生も治しました
アフターの写真では歯並びだけで無く
下の奥歯が舌側に倒れてたのが直立してる感じに治ってるのが見て取れます
【症例No.1139】
前歯がすり減って小さくなってる
| 年齢 | 37歳 |
|---|---|
| 主な症状 |
下顎叢生 |
| 治療装置 | マウスピース型矯正装置(インビザライン) |
| 抜歯部位 | なし |
| 治療期間・回数 |
1年8ヶ月、20回 |
| 治療費概算 | 85万円(税込) |
| リスク・副作用など |
ブラックトライアル |
| ドクターから一言 |
小さい歯が多かったので歯を動かすのにゆっくり慎重に動かした |
患者さんからのコメント
装着時間が短い時があって、アライナーが合わない時期があった
【BEFORE】治療前のiTeroによる3Dスキャン画像です。
【AFTER】iTeroを使って作成した治療計画の3D画像です。
下にある治療前の歯並びを写真撮影した物と見比べてみてください。
iTeroでかなり厳密に3Dスキャンできていることがお分かりいただけると思います。


保定期間について
保定とは矯正治療終了後、矯正で動かした歯を元に戻らないよう定着させる期間の事です。辻中歯科医院では保定期間に入られた患者さまには、基本的にマウスピースタイプの保定装置を装着していただきます。
保定に要する時間は矯正治療にかかった時間プラス半年程度とお考えください。



