この患者さんは61歳で慢性的な歯周病があった為、矯正力で歯がグラグラにならないか?グラグラになる事で冷たいモノがしみたり痛みぎ出てこないか注意しながら矯正を行いました。
【症例No.5255】
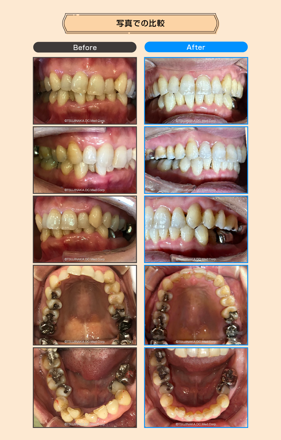
前歯の歪みが気になる
| 年齢 | 61歳 |
|---|---|
| 主な症状 | 1.(上下前歯部ガタガタ)叢生歯列 2.(奥歯が中に倒れてる)歯軸舌側傾斜 |
| 治療装置 | マウスピース型矯正装置(インビザライン) |
| 抜歯部位 | なし |
| 治療期間・回数 | 2年、22回 |
| 治療費概算 | 80万円(税込) |
| リスク・副作用など | 1矯正スタート時61歳 2慢性歯周病 |
| ドクターから一言 | 歯周病に罹患されてたので患者さんと相談しながら、炎症をコントロールしながらゆっくり歯を動かしていった |
患者さんからのコメント
コロナなのでマスクしている間に気付かれぬままに歯の矯正ができるのが良いと思った。 ま た、変化していくたびに日々励みやモチベーションになっている。 残りも頑張りたいです。ど うぞよろしくお願いします。
【BEFORE】治療前のiTeroによる3Dスキャン画像です。
【AFTER】iTeroを使って作成した治療計画の3D画像です。
下にある治療前の歯並びを写真撮影した物と見比べてみてください。
iTeroでかなり厳密に3Dスキャンできていることがお分かりいただけると思います。


保定期簡について
保定とは矯正治療終了後、矯正で動かした歯を元に戻らないよう定着させる期間の事です。辻中歯科医院では保定期間に入られた患者さまには、基本的にマウスピースタイプの保定装置を装着していただきます。
保定に要する時間は矯正治療にかかった時間プラス半年程度とお考えください。



