この患者さんは反対咬合と叢生歯列だけでは無く、患者さんの気づいてられなかった点として咬合が強く、下顎隆起という噛み合わせが強い人の特徴があった
治療計画として
早期に前歯部の反対咬合を治す必要があった
反対咬合→叢生歯列→咬合回復
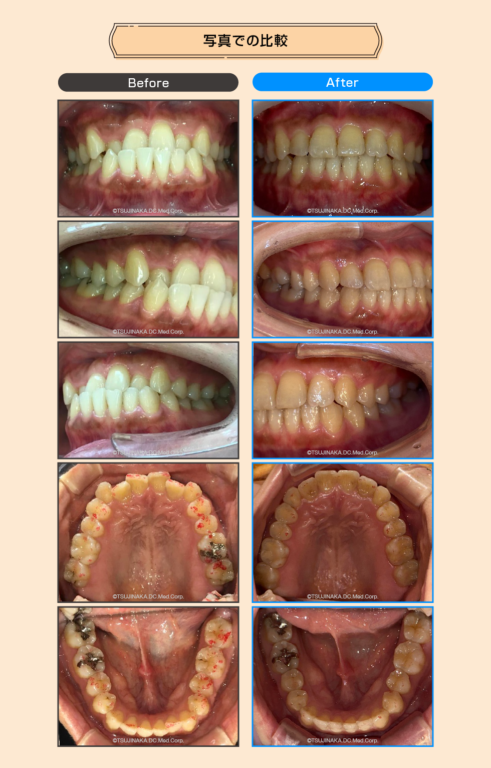
アフターの写真の右下の奥歯(写真左側)を見て貰えると
右下567の3本の歯が真っ直ぐに起き上がって噛み合わせも治っています
【症例No.5437】
歯の不揃いを治したい
| 年齢 | 39歳 |
|---|---|
| 主な症状 | 1.(受け口)反対咬合 2.(上下前歯デコボコ)叢生歯列 |
| 治療装置 | マウスピース型矯正装置(インビザライン) |
| 抜歯部位 | なし |
| 治療期間・回数 | 1年6ヶ月、14回 |
| 治療費概算 | 85万円(税込) |
| リスク・副作用など | 反対咬合だったのでゴム掛けが必要だったので、モチベーション維持が大変とIPRが必要 |
| ドクターから一言 | 初診時39歳だったので早期に反対咬合を治す為に下顎前歯部にIPRを慎重に行なった。 又、顎自体を引っ込める力をかける時に顎関節を痛めない様に注意深く観察、指導した。 |
患者さんからのコメント
始めようと思ったきっかけは、歯が不揃いだし マスクを必ず着用しないといけない時期になり 今のタイミングで始めようと思いました。 また、インビザラインは透明で目立たないので それも選択した理由です。 矯正を始めてからは自分の歯が少しずつ正しい 位置に動いていくのが驚きでした。
【BEFORE】治療前のiTeroによる3Dスキャン画像です。
【AFTER】iTeroを使って作成した治療計画の3D画像です。
下にある治療前の歯並びを写真撮影した物と見比べてみてください。
iTeroでかなり厳密に3Dスキャンできていることがお分かりいただけると思います。


保定期間について
保定とは矯正治療終了後、矯正で動かした歯を元に戻らないよう定着させる期間の事です。辻中歯科医院では保定期間に入られた患者さまには、基本的にマウスピースタイプの保定装置を装着していただきます。
保定に要する時間は矯正治療にかかった時間プラス半年程度とお考えください。



