56歳で歯周病が有り
かぶせ物や詰め物の歯が多くて固定源となる歯の選定や動かす順番を考慮しながら矯正を行いました
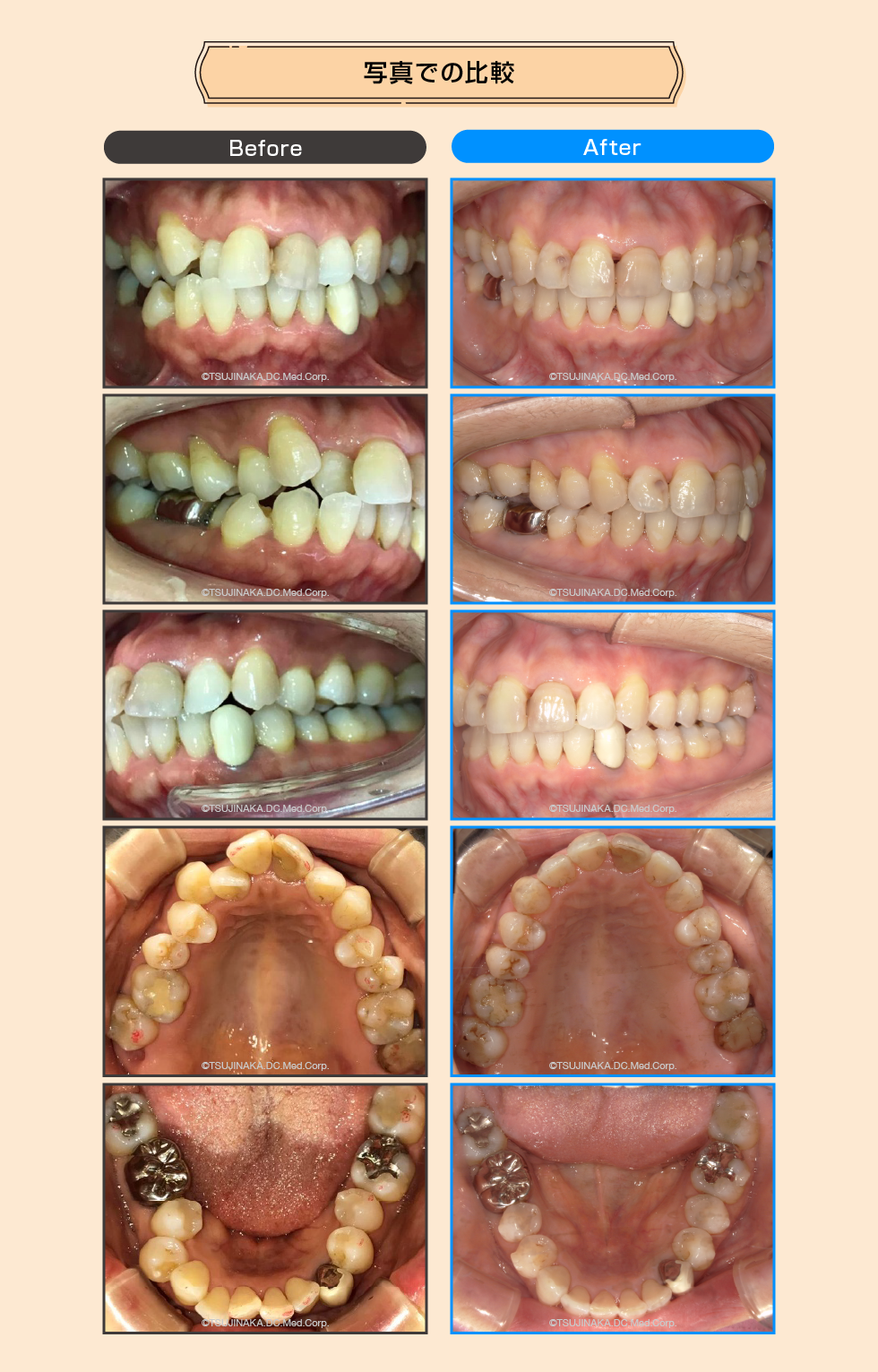
【症例No.5010】
コンプレックスだった前歯の歯並びを治したい
| 年齢 | 56歳 |
|---|---|
| 主な症状 |
上顎叢生 |
| 治療装置 | マウスピース型矯正装置(インビザライン) |
| 抜歯部位 | なし |
| 治療期間・回数 |
1年4ヶ月、19回 |
| 治療費概算 | 85万円(税込) |
| リスク・副作用など |
噛みづらい |
| ドクターから一言 |
歯周病があったので丁寧に動かした |
患者さんからのコメント
途中右下が滲みる時があった
【BEFORE】治療前のiTeroによる3Dスキャン画像です。
【AFTER】iTeroを使って作成した治療計画の3D画像です。
下にある治療前の歯並びを写真撮影した物と見比べてみてください。
iTeroでかなり厳密に3Dスキャンできていることがお分かりいただけると思います。


保定期間について
保定とは矯正治療終了後、矯正で動かした歯を元に戻らないよう定着させる期間の事です。辻中歯科医院では保定期間に入られた患者さまには、基本的にマウスピースタイプの保定装置を装着していただきます。
保定に要する時間は矯正治療にかかった時間プラス半年程度とお考えください。



