ホーム ≫ 食事中に物が噛みきれないのを治したい ≫
食事中に物が噛みきれないのを治したい
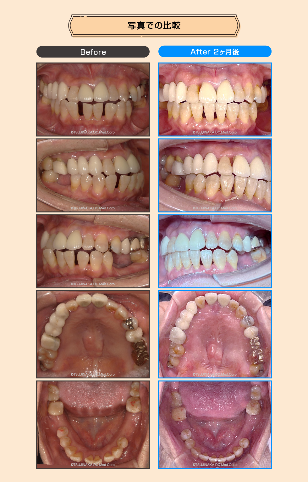
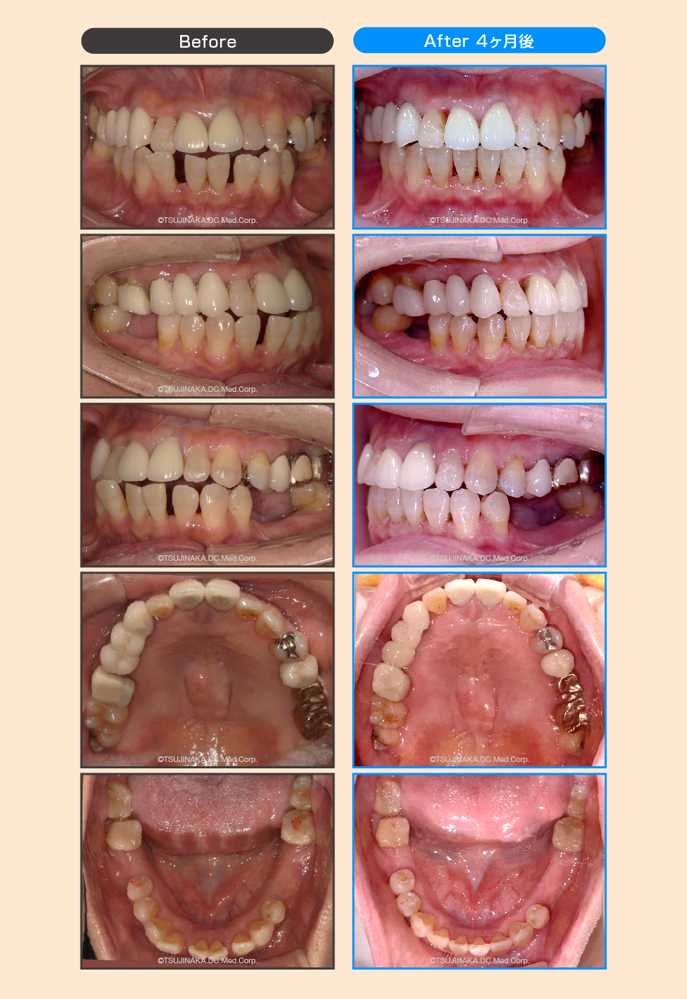
この患者さんは下の奥歯が無く噛み合わせも悪かった。前歯は奥歯を閉じても噛めない(開口)が有りました。
歯周病がありコントロールが難しかったですが奥歯と見た目も同時に治して行く治療計画を立てました。
【症例No.7490】
小学校の頃から歯が前に出ているのとすきっ歯が気になっていた
| 年齢 | 59歳 |
| 主な症状 | 1.(すきっ歯)歯間離開 2.(受け口)反対咬合 3.前歯で噛めない)開口 |
| 治療装置 | マウスピース型矯正装置(インビザライン) |
| 抜歯部位 | なし |
| 治療期間・回数 | 1年6ヶ月、8回 |
| 治療費概算 | 75万円(税込) |
| リスク・副作用など | 1歯周病 2欠損歯、かぶせの歯が多い 3治療開始時59歳 |
| ドクターから一言 | 歯周病による歯の動揺や欠損歯、(かぶせの歯)補綴歯による固定源不足。 又、歯列のみならず上下の噛み合わせの関係を考慮して固定源となる歯の選択と動かされる歯の動かす順番と動かし方に注意を払い矯正を行った。 |
患者さんからのコメント
年齢も年齢なのでインビザラインをするか悩みましたが始めて良かったなと思っております。矯正をして話しやすくなったり食事も食べやすくなりました。また、気にせずに話せたり笑えるようにもなり、気持ちも色々とだいぶ楽になりました。
【BEFORE】治療前のiTeroによる3Dスキャン画像です。
【AFTER】iTeroを使って作成した治療計画の3D画像です。
下にある治療前の歯並びを写真撮影した物と見比べてみてください。
iTeroでかなり厳密に3Dスキャンできていることがお分かりいただけると思います。
iTeroによるシミュレーション結果

矯正2ヶ月後

矯正4ヶ月後

保定期間について
保定とは矯正治療終了後、矯正で動かした歯を元に戻らないよう定着させる期間の事です。辻中歯科医院では保定期間に入られた患者さまには、基本的にマウスピースタイプの保定装置を装着していただきます。
保定に要する時間は矯正治療にかかった時間プラス半年程度とお考えください。



