ホーム ≫ 小学校の頃から歯が前に出ているのとすきっ歯が気になっていた ≫
小学校の頃から歯が前に出ているのとすきっ歯が気になっていた
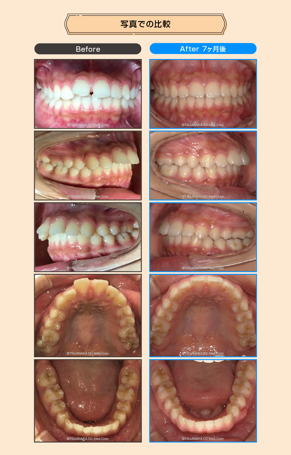
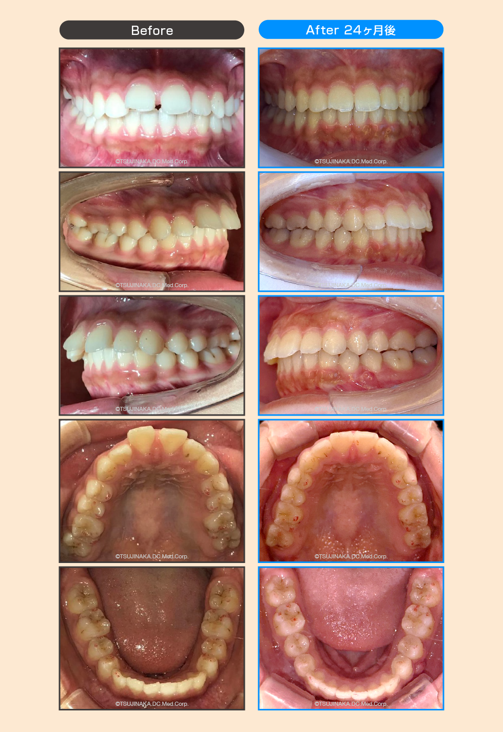
上の前歯がすきっ歯(正中離開)しているだけでなく、上と下の顎が前後でズレていました(上顎前突)年齢的に下顎の成長も考慮して治療計画を立てました。
【症例No.7345】
小学校の頃から歯が前に出ているのとすきっ歯が気になっていた
| 年齢 | 14歳 |
| 主な症状 | 1.(すきっ歯)歯間離開 2.(出っ歯)上顎前突 3.(下の歯ボコボコ)下顎叢生 |
| 治療装置 | マウスピース型矯正装置(インビザライン) |
| 抜歯部位 | なし |
| 治療期間・回数 | 2年、14回 |
| 治療費概算 | 80万円(税込) |
| リスク・副作用など | 上顎前突だったのでゴム掛けを行った 左下4番が根尖未完成歯だった 右上1番が矯正前から少しかけていた |
| ドクターから一言 | ゴム掛けがモチベーションの低下に繋がら無い様に注意した。 年齢が14歳なので根尖未完成の根が弯曲しない様注意した。 先っぽがかけてる上の前歯は矯正前に少しだけ足すと矯正力で外れやすいので矯正後治療を行う事にした。 |
患者さんからのコメント
見た目が気にならない。ワイヤーが切れたりすることがない。取り外しができてご飯を食べる時とか気にしなくていい。歯磨きも楽。
【BEFORE】治療前のiTeroによる3Dスキャン画像です。
【AFTER】iTeroを使って作成した治療計画の3D画像です。
下にある治療前の歯並びを写真撮影した物と見比べてみてください。
iTeroでかなり厳密に3Dスキャンできていることがお分かりいただけると思います。
iTeroによるシミュレーション結果

矯正7ヶ月後

矯正18ヶ月後

矯正24ヶ月後

保定期間について
保定とは矯正治療終了後、矯正で動かした歯を元に戻らないよう定着させる期間の事です。辻中歯科医院では保定期間に入られた患者さまには、基本的にマウスピースタイプの保定装置を装着していただきます。
保定に要する時間は矯正治療にかかった時間プラス半年程度とお考えください。



