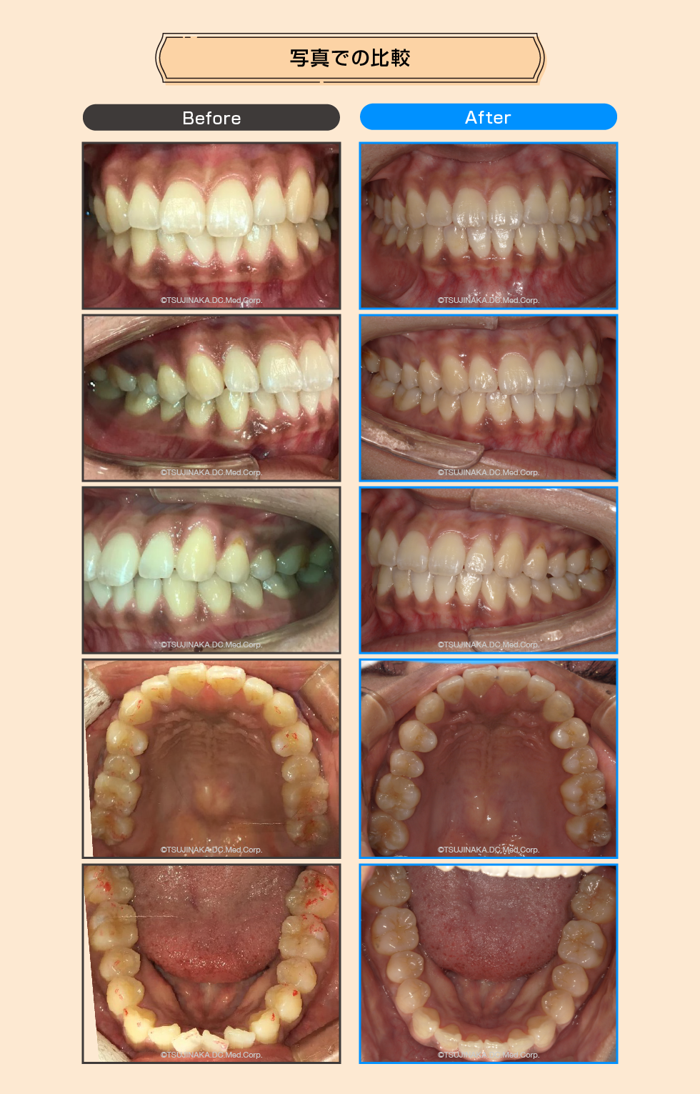
この患者さんは強い噛み合わせの影響で下の奥歯が内側(舌側)や前歯側に倒れて前歯もデコボコでした。
まず倒れた奥歯を起こして、その後前歯をキレイに並べるという治療計画をたてました。
【症例No.7197】
噛み合わせが強いせいで骨が隆起している
| 年齢 | 34歳 |
|---|---|
| 主な症状 |
下顎叢生 |
| 治療装置 | マウスピース型矯正装置(インビザライン) |
| 抜歯部位 | なし |
| 治療期間・回数 | 1年6ヶ月、16回 |
| 治療費概算 | 85万円(税込) |
| リスク・副作用など |
前歯の歯肉退縮、ブラックトライアングル |
| ドクターから一言 |
下顎臼歯遠心移動による反作用が前歯に出て歯肉退縮しないこと |
患者さんからのコメント
辻中歯科医院で歯並びを指摘されて歯並びが気になった。これ以上骨隆起が大きくなるのは嫌。今後の健康のために頑張りたい。
【BEFORE】治療前のiTeroによる3Dスキャン画像です。
【AFTER】iTeroを使って作成した治療計画の3D画像です。
下にある治療前の歯並びを写真撮影した物と見比べてみてください。
iTeroでかなり厳密に3Dスキャンできていることがお分かりいただけると思います。


保定期間について
保定とは矯正治療終了後、矯正で動かした歯を元に戻らないよう定着させる期間の事です。辻中歯科医院では保定期間に入られた患者さまには、基本的にマウスピースタイプの保定装置を装着していただきます。
保定に要する時間は矯正治療にかかった時間プラス半年程度とお考えください。



