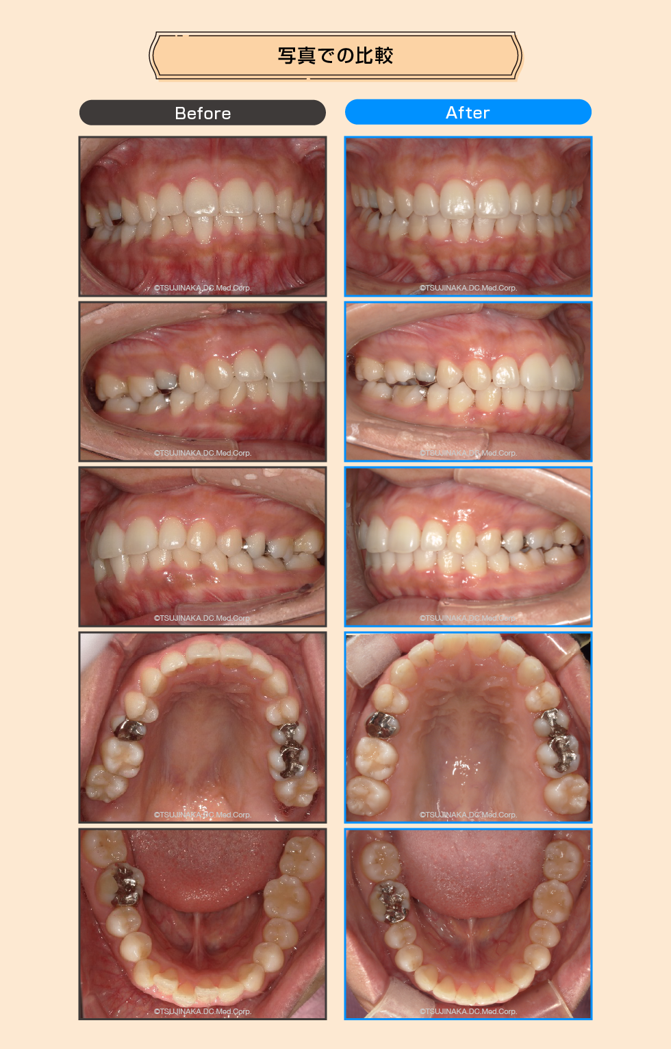
下の歯並びが出て来たのは奥歯から影響を前歯が受けた為です、奥歯も捻転していましたのでそこもインビザラインでキチンと
治し噛み合わせを治すことで歯並びも前歯の窮屈感も無くなりきれいになりました
【症例No.6606】
数年前から下の前歯が出てきた
| 年齢 | 32歳 |
|---|---|
| 主な症状 |
下顎前歯叢生、正中不揃い |
| 治療装置 | マウスピース型矯正装置(インビザライン) |
| 抜歯部位 | なし |
| 治療期間・回数 |
12ヶ月、19回 |
| 治療費概算 | 85万円(税込) |
| リスク・副作用など |
正中を合わせるためにIPRを施した |
| ドクターから一言 |
アタッチメントをつける歯が金属だったので仮歯に置き換えてアタッチメントをつけた |
患者さんからのコメント
下顎前歯のガタガタが治って嬉しい。 辻中歯科医院で「きれいになりましたね」と言われるのが嬉しく当院に通うのが楽しい。
【BEFORE】治療前のiTeroによる3Dスキャン画像です。
【AFTER】iTeroを使って作成した治療計画の3D画像です。
下にある治療前の歯並びを写真撮影した物と見比べてみてください。
iTeroでかなり厳密に3Dスキャンできていることがお分かりいただけると思います。


保定期間について
保定とは矯正治療終了後、矯正で動かした歯を元に戻らないよう定着させる期間の事です。辻中歯科医院では保定期間に入られた患者さまには、基本的にマウスピースタイプの保定装置を装着していただきます。
保定に要する時間は矯正治療にかかった時間プラス半年程度とお考えください。



